肺动脉吊带是什么意思?
详细内容
- 01
罕见的先天性心血管畸形
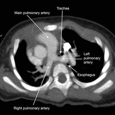
肺动脉吊带是一种罕见的先天性心血管畸形,又名迷走左肺动脉,是左肺动脉异常起源于右肺动脉的后方,呈半环形跨过右主支气管向左穿行于食道前和气管后到达左肺门,常合并气管下段、右主支气管和食管不同程度的压迫。此外,动脉导管或韧带向左后方与降主动脉相连,此结构和异常的左肺动脉一起形成的血管环可压迫左主支气管。

肺动脉吊带是一种罕见的先天性心血管畸形,又名迷走左肺动脉,是左肺动脉异常起源于右肺动脉的后方,呈半环形跨过右主支气管向左穿行于食道前和气管后到达左肺门,常合并气管下段、右主支气管和食管不同程度的压迫。

肺动脉吊带最初由Glaevecke和Doehle于1897年报道,1958年Contro等将其命名为“肺动脉吊带”。有关肺动脉吊带的胚胎学异常存在多种假说,大多数学者认为是发育期支气管树的尾端毛细血管和来源于右侧第六弓衍生出的支配动脉相连接形成。研究表明,肺动脉吊带与18-三体、21-三体等染色体异常有明显相关性。

根据左肺动脉起源情况,肺动脉吊带可分为完全型和部分型。完全型是指左肺动脉主干从右肺动脉发出;部分型是指左肺动脉部分分支从右肺动脉发出,而左肺动脉主干及其他分支起源和走行正常。部分型以左上肺动脉起源异常多见,而左下肺动脉起源异常罕见。

肺动脉吊带患儿气管狭窄的原因除异常走行的左肺动脉压迫气管以及压迫造成的气管软化外,也可能是合并膜状软骨缺失的完全性气管环造成的。
肺动脉吊带患儿的临床症状常取决于气管、食管受压程度和伴发的心内畸形。绝大多数患儿在1岁内出现症状,症状较轻者在青春期或成年后偶被发现。临床症状缺乏特异性,多以反复咳喘、喉鸣、呼吸困难、呼吸道感染迁延不愈等呼吸道症状为主要表现,严重者可出现意识障碍、抽搐等表现,危及生命。约50%肺动脉吊带患儿合并心内畸形,常见的有动脉导管未闭、房间隔缺损、室间隔缺损和永存左位上腔静脉,少数合并法洛四联症。

肺动脉吊带若不能及时得到手术治疗,大约90%的患儿在1岁以内死亡。由于临床表现缺乏特异性,且大多临床医师对该病认识不足,容易误诊、漏诊。因此,早期发现并及时手术纠治左肺动脉异常和气道梗阻对本病预后至关重要。
